Dentro de mi trayectoria académica he tenido la oportunidad de conocer y realizar el trabajo universitario desde diferentes instancias: como Jefa de Área de Productos Biológicos del Departamento de Sistemas Biológicos, Coordinadora de la Maestría en Ciencias Farmacéuticas de la División de Ciencias Biológicas y de la Salud durante dos periodos y como Secretaria Académica de la División de Ciencias Biológicas y de la Salud en la Unidad Lerma.

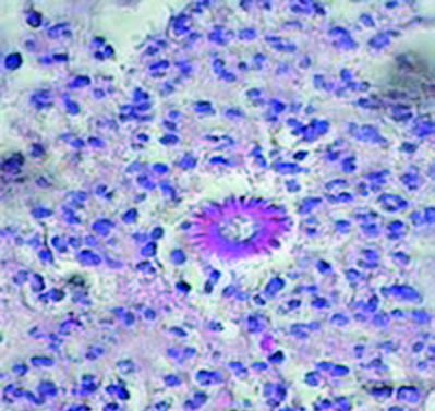
Dentro de la UAM-X he enfocado el trabajo de investigación en el Laboratorio de Inmunología, principalmente, en el estudio del actinomicetoma el cual es causado con mucha frecuencia por los géneros bacterianos Nocardia y Actinomadura y se caracteriza por ser una lesión localizada en la piel y el tejido subcutáneo que puede invadir músculo, hueso y articulaciones.
Aparece generalmente en zonas tropicales o subtropicales y se contagia cuando los microorganismos penetran en el cuerpo a través de lesiones localizadas en la piel desnuda de los pies, piernas, brazos o espalda de trabajadores o campesinos que acarrean hortalizas o tierra contaminada, durante el trabajo al aire libre.

Parte de los resultados obtenidos a lo largo del estudio de la relación hospedero-parásito en infecciones dermatológicas, nos ha permitido vincularnos con los sectores hospitalarios y académicos relacionados con los aspectos clínicos y de investigación básica de esta patología. Entre éstos se encuentran los servicios de Micología del Centro Dermatológico Ladislao de la Pascua y el Hospital General Manuel Gea González así como con el Departamento de Parasitología y Micología de la Universidad Autónoma de México y el Departamento de Inmunología de la Escuela Nacional de Ciencias Biológicas del Instituto Politécnico Nacional principalmente con la Dra. Julieta Luna Herrera.
Artículo completo
